Герпетиформный дерматит Дюринга — хроническое заболевание кожи с частыми обострениями. Для данного нарушения характерно возникновение на коже эритематозных и полиморфных высыпаний, а также развитие выраженного зуда. Свое название патология получила благодаря известному ученому-дерматологу Дюрингу, который изучал данную болезнь.
Герпетиформный дерматит (см. фото) может развиваться у представителей обоих полов любого возраста. Но согласно статистическим данным, к возникновению такого нарушения более предрасположены мужчины в возрасте 30-40 лет. Развитие заболевания в детском возрасте наблюдается в редких случаях. Иногда данная патология возникает при наличии в организме злокачественной опухоли внутренних органов, то есть выступает в роли параонкологического дерматита.
Причины
На сегодняшний день точно неизвестны причины возникновения такого нарушения. Однако существуют различные факторы, способствующие появлению заболевания, а именно:
- наследственная предрасположенность;
- патологии аутоиммунного характера;
- опухолевые образования;
- индивидуальная гиперчувствительность к злаковым белкам и йоду;
- нарушения функционирования эндокринной системы (особенно во время климакса и беременности);
- патологии желудочно-кишечного тракта;
- аскаридоз;
- вирусные болезни.
Мнение врачей:
Герпетиформный дерматит Дюринга – это хроническое воспалительное заболевание кожи, характеризующееся появлением пузырьков, папул и пятен на коже, сопровождающимися сильным зудом. Врачи отмечают, что данное заболевание чаще всего связано с непереносимостью глютена и иммунным ответом на его употребление. Диагностика герпетиформного дерматита Дюринга включает в себя клиническое обследование кожи, биопсию пораженной области и анализ антител к глютену. Лечение этого заболевания обычно включает в себя прием безглютеновой диеты, применение противовоспалительных средств и кремов для снятия зуда. Важно обратиться к врачу-дерматологу при первых признаках заболевания, чтобы начать своевременное и эффективное лечение.

Клинические проявления
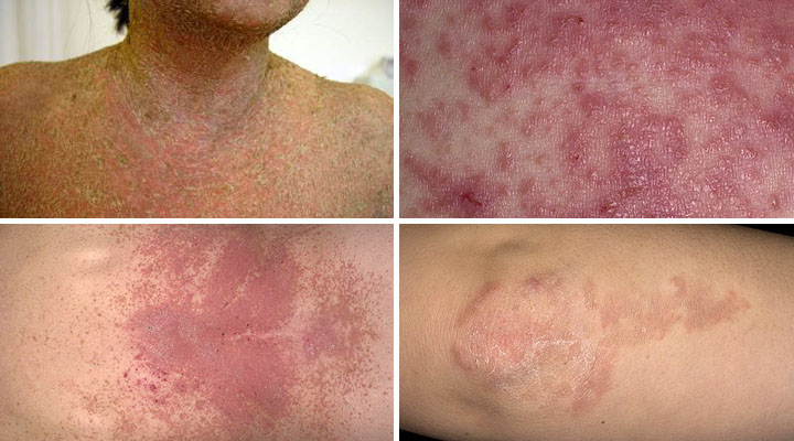
Предвестником заболевания является ухудшение общего самочувствия. На начальной стадии развития патологии возникает зуд, покалывание, жжение кожи, нередко наблюдается увеличение температурных показателей. Через время кожные покровы покрываются сыпью. Чаще всего высыпания локализуются в области плеч, поясницы, ягодиц, головы, на внутренней поверхности коленей и локтей. Для наглядности в статье представлены фото герпетиформного дерматита Дюринга.
Внешние проявления данного заболевания схожи с признаками герпеса, благодаря чему патология и получила название «герпетиформный дерматит». В большинстве случаев патологический процесс не распространяется на слизистые оболочки, но иногда в комплексе с кожной сыпью наблюдаются изменения слизистой полости рта.
При таком заболевании болезненные ощущения слабо выражены. Пузырьковые высыпания вскрываются самостоятельно через 3-4 дня, на их месте формируются язвочки с характерным фестончатым краем. На эрозивных участках быстро образуется корочка, после заживления ранок наблюдается пигментация кожи, в редких случаях — рубцы.
Характерной особенностью данного заболевания является полиморфность высыпаний. На кожных покровах могут появляться эритемы, папулы, пузырьки, наполненные жидкостью, которые с развитием патологического процесса сливаются в один очаг воспаления.
Опыт других людей
Все о герпетиформном дерматите Дюринга – это тема, которая часто обсуждается среди людей, столкнувшихся с этим заболеванием. Некоторые отмечают, что симптомы дерматита Дюринга могут быть очень неприятными и вызывать значительное дискомфорт. Другие высказывают мнение о важности своевременной диагностики и лечения этого заболевания, чтобы избежать осложнений. Большинство людей соглашаются, что следование специальной диете и избегание контакта с триггерами помогают снизить проявление симптомов. Важно помнить, что каждый организм индивидуален, и то, что помогает одному человеку, может быть неэффективно для другого.

Принципы терапии
Для лечения герпетиформного дерматита используются лекарственные средства группы сульфонов (Дапсон, Сульфапиридин, Диуцифон и другие). Если применение данных медикаментов не приносит необходимого терапевтического эффекта, по назначению специалиста могут использоваться кортикостероидные препараты.
Для повышения защитных сил организма используются витаминно-минеральные комплексы и иммуномодуляторы. Эффективным природным иммуномодулятором является настойка Аралии, Элеутерококка, Левзеи. Также положительное влияние на организм оказывает витаминотерапия, при которой витамины С, РР и витамины группы В вводятся пероральным или внутримышечным способом.
Кроме этого, рекомендуется использовать средства местного действия. Пораженные области кожи следует обрабатывать Дерматоловой мазью, Фукорцином. Кроме этого, показаны ванны с добавлением раствора марганцевого калия.
Для успешного лечения заболевания необходимо придерживаться гипоаллергенной диеты. Следует отказаться от употребления морепродуктов, богатых йодом, поскольку при герпетиформном дерматите поступление данного элемента в организм нежелательно.
В качестве дополнения к основному лечению могут использоваться проверенные средства нетрадиционной медицины. Хороший терапевтический эффект оказывают отвары облепихи, можжевельника, солодки. Также в домашних условиях можно приготовить целебную мазь — 2 части топленого нутряного или свиного жира соединить с 1 частью сухой травы красавки, состав томить в духовке при температуре 90 ºС в течение 6-и часов. После смесь процедить, охладить и применять для смазывания воспаленных участков кожи.
Для герпетиформного дерматита характерно циклическое течение. Продолжительные периоды обострения сменяются короткими периодами ремиссии. Адекватное лечение и соблюдение диеты позволяют значительно сократить период и частоту рецидивов.
Источники: medscape.com, mdlinx.com,
health.harvard.edu.
Частые вопросы
Сколько лечится дерматит Дюринга?
Лечение герпетиформного дерматита Дюринга Эти препараты обычно назначают внутрь циклами по 5-6 дней с перерывами в 1-3 дня. В случаях неэффективности сульфоновой терапии лечение проводят средними дозами кортикостероидов (преднизолон, дексаметазон и др. )
Какой симптом типичен при дерматите Дюринга?
Типичны бледно-желтые, просвечивающие везикулы диаметром 5-10 мм. Они могут сливаться в более крупные пузыри, которые, вскрываясь и ссыхаясь, образуют корки. Содержимое везикул, пустул и пузырей иногда бывает геморрагическим. Высыпания сопровождаются сильным зудом или жжением и болезненностью.
Как выглядит дерматит Дюринга?
Герпетиформный дерматит Дюринга представляет собой хроническое заболевание кожи, склонное к частым рецидивам. Клиническая картина представлена характерными симметричными высыпаниями, вызывающими сильный зуд и чувство жжения в пораженной области. Одновременно у пациента присутствуют пятна, папулы, пузыри и волдыри.
Как выглядит Герпесный дерматит?
Симптомы герпетического дерматита Один из наиболее заметных — характерные высыпания, представленные пятнами, волдырями и небольшими пузырьками, которые часто группируются и могут появиться на локтях, коленях, спине, ягодицах, плечах и коже головы. Они обычно симметричны (например, появляются на обоих локтях сразу).
Полезные советы
СОВЕТ №1
При подозрении на герпетиформный дерматит Дюринга обратитесь к врачу-дерматологу для точного диагноза и назначения соответствующего лечения.
СОВЕТ №2
При соблюдении диеты, избегайте употребления глютена, так как он может усугубить симптомы заболевания.
СОВЕТ №3
При обнаружении высыпаний на коже, не пытайтесь лечить их самостоятельно, чтобы избежать осложнений. Обратитесь к специалисту для назначения правильного лечения.




